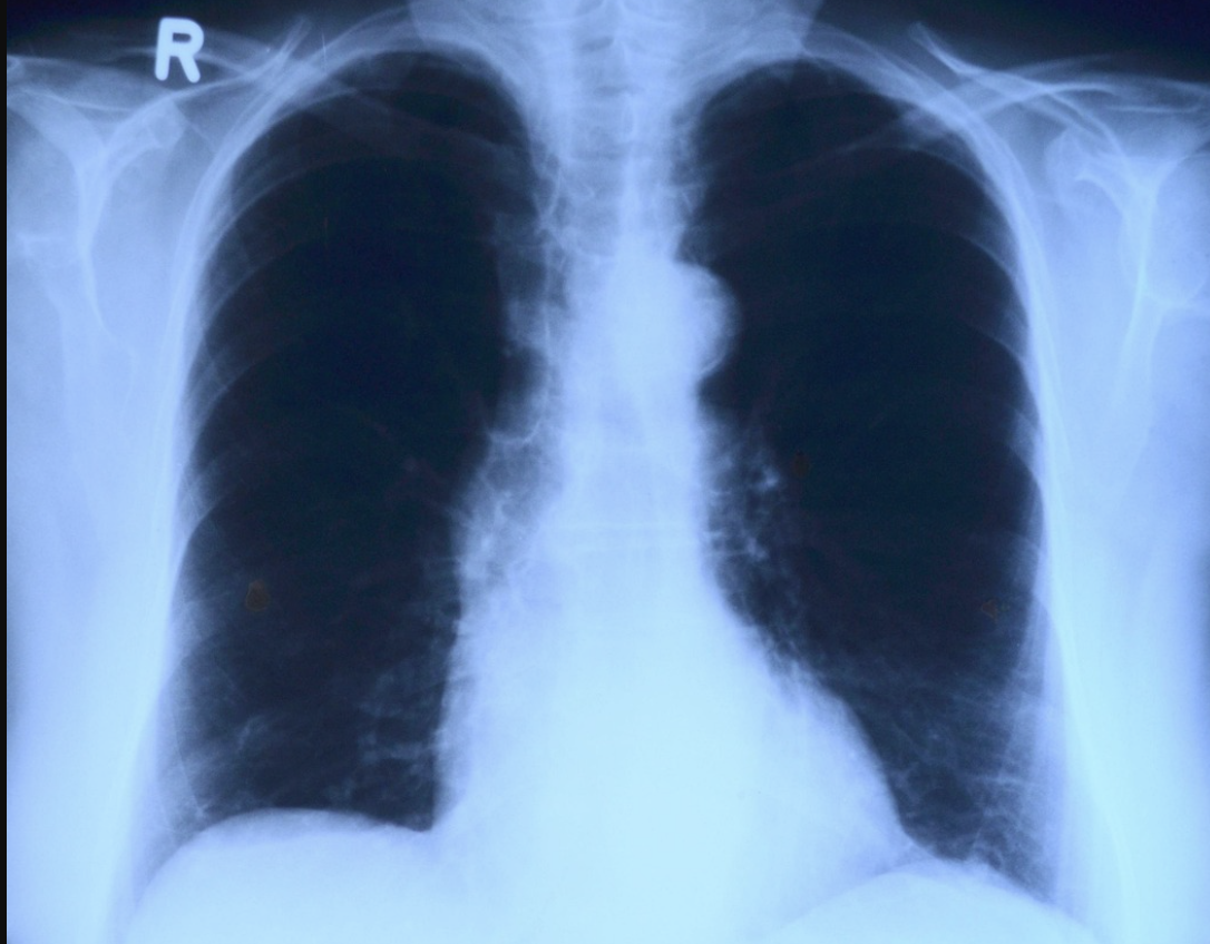
Мужчины в Красноярском крае чаще других в Сибири болеют раком лёгких
Мужчины в Красноярском крае чаще других в Сибири сталкиваются с раком лёгких. Об этом рассказала старший научный сотрудник отделения торакальной онкологии НИИ онкологии Томского НИМЦ Татьяна Полищук. По её словам, самые высокие показатели заболеваемости среди мужчин зафиксированы в Алтайском и Красноярском краях, при этом в последнем отмечается и высокий уровень смертности.
По данным онкодиспансеров, только за прошлый год в каждом из этих регионов выявили более 1000 случаев рака лёгких. Медики напоминают, что на ранних стадиях болезнь обычно не проявляется, из-за чего пациенты часто обращаются за помощью слишком поздно. В Сибири рак лёгких удаётся диагностировать на ранних стадиях примерно в 35% случаев, тогда как почти треть пациентов узнают о болезни уже на последней стадии, а в отдельных регионах этот показатель достигает 45%.
К основным факторам риска врачи относят курение, хронические болезни дыхательных путей, вредные условия труда и плохую экологию. В последние годы специалисты отмечают рост числа заболевших и среди женщин, что, по мнению Полищук, может быть связано с распространением вейпов и электронных сигарет.
По информации краевого минздрава, в 2023 году рак лёгких диагностировали у 1401 жителя региона. Мужчины болеют значительно чаще, а средний возраст заболевших снизился с 60 до 47–50 лет.
Всего в 2024 году в Красноярском крае на учёте состояли 82 508 человек с онкологическими заболеваниями, среди них около 500 детей. От рака в регионе за год умерли 6040 человек, что составляет 212,6 случая на 100 тысяч населения. При этом за последние десять лет смертность от онкологических заболеваний снизилась почти на 22%.





_04221212_b.jpg)
















