Сила Сибири. 
 И мы – не газопровод.

Здоровье

Статьи и новости рубрики "Здоровье"

В Монголии строят национальную контрольно-аналитическую лабораторию

В октябре 2025 года в Монголии по инициативе Минздрава начали строить национальную контрольно-аналитическую лабораторию, которая будет анализировать качество лекарств. Об этом 3 декабря сообщило ИА «Монцамэ». Площадь лаборатории составит 884 квадратных метра. Ее возведение идет по графику.

ЗдоровьеМонголия

26

04.12.2025

В Красноярске сократят лимит поездок в социальном такси для инвалидов

С января 2026 года в Красноярске изменятся условия предоставления социального такси для людей с инвалидностью. Количество субсидированных поездок для определенных целей сократится в два раза. Эту тему подняли на заседании комиссии Городского совета по социальной политике.

ЗдоровьеТранспортКрасноярск

195

04.12.2025

Красноярский край потерял четыре миллиарда рублей на медицину из-за убыли населения

В комитете по охране здоровья Законодательного собрания Красноярского края обсудили бюджет Территориального фонда обязательного медицинского страхования. Депутат Алексей Бойков назвал полученные данные тревожными и требующими тщательного анализа.

ЗдоровьеЭкономикаОбществоКрасноярск

208

04.12.2025

318 классов в школах Улан-Удэ ушли на карантин

В школах Улан-Удэ из-за роста заболеваемости ОРВИ на карантин закрыли уже 318 классов – там обучаются 9542 человека. Заниматься они будут пока в дистанционном режиме. Также для посещения закрыли 10 групп в четырех детсадах. Об этом сообщили в мэрии.

ЗдоровьеОбразованиеБурятия

524

03.12.2025

Монголия и Турция обсудили укрепление сотрудничества в сфере здравоохранения

Глава Минздрава Монголии Жигжидсурэнгийн Чинбурэн посетил Турцию 24-26 ноября и встретился там со своим коллегой Кемалем Мемисоглу. Они обсудили возможности вывода взаимодействия на новый уровень. Об этом сообщает ИА «Монцамэ».

ЗдоровьеОфициозМонголия

715

02.12.2025

В Новосибирской области фиксируют снижение количества людей с ВИЧ и туберкулезом

В Новосибирской области по итогам 2024 года фиксируют снижение количества людей с ВИЧ и туберкулезом. Об этом сообщили в региональном Минздраве. «К совершеннолетию почти 90 % населения уже инфицированы микобактерией туберкулёза. Но у большинства болезнь не развивается.

ЗдоровьеОфициозНовосибирск

723

02.12.2025

В Новосибирске бывшему замдиректора клиники Мешалкина отказали в УДО

В Новосибирске бывшему заместителю директора Новосибирского научно-исследовательского института патологии кровообращения имени Мешалкина Ирине Бойцовой отказали в условно-досрочном освобождении. Об этом сообщили в Управлении судебного департамента НСО.

РасследованияЭкономикаЗдоровьеНовосибирск

2569

02.12.2025

В Красноярском крае трое человек умерли от обморожения

С 1 октября по 1 декабря в Красноярском крае госпитализировали 26 человек, которые получили обморожение. Трое из них умерли. Еще 27 жителей обратились за амбулаторной помощью. Такие данные привел региональный Минздрав. Почти все пострадавшие — взрослые.

ПроисшествияЗдоровьеКрасноярск

662

02.12.2025

17 школ в Бурятии закрыли из-за роста заболеваемости ОРВИ

В Бурятии из-за резкого подъема заболеваемости ОРВИ полностью закрыли уже 17 школ. Об этом сообщает Ариг Ус online со ссылкой на Минобрнауки республики. По данным на 1 декабря, в регионе с симптомами ОРВИ слегли уже 7286 школьников.

ЗдоровьеОбразованиеБурятия

642

02.12.2025

В Новосибирской области хотят ввести масочный режим

В Новосибирской области в больницах хотят ввести масочный режим. Об этом сообщил министр здравоохранения НСО Ростислав Заблоцкий. «Эпидемия уже перешагнула из европейской части в Сибирь.

ЗдоровьеНовосибирск

688

01.12.2025

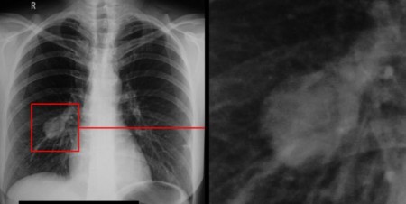
Смерть туриста в Улан-Баторе: слабые места монгольской медицины

Смерть гражданина США в столичной больнице стала резонансным событием, обострив дискуссию о слабых местах монгольской медицины. Турист поступил в Государственную центральную клиническую больницу №1 в начале июня. Его состояние ухудшалось, а врачи не смогли установить диагноз в течение целой недели.

Эрнест Баатырев

ЗдоровьеОбществоМонголия

1296

01.12.2025

В Бурятии спасли годовалого малыша, проглотившего монету и дисковую батарейку

27 ноября в ДРКБ в Улан-Удэ попал годовалый ребенок. Он проглотил двухрублевую монету и дисковую литиевую батарейку, в результате чего получил химический ожог слизистой оболочки пищевода третьей степени. Об этом сообщает пресс-служба медучреждения.

ЗдоровьеПроисшествияБурятия

1017

30.11.2025

В столице Бурятии на карантин ушли 43 класса в 12 школах

В Улан-Удэ из-за роста заболеваемости ОРВИ на карантин закрыли уже 43 класса в 12 школах – болеют 439 учеников. Об этом сообщает Ариг Ус online со ссылкой на председателя местного Комитета по образованию Анну Батурину.

ЗдоровьеОбразованиеБурятия

1322

27.11.2025

В Новосибирской области зафиксировали 107 случаев гриппа

В Новосибирской области за неделю с 17 по 23 ноября зафиксировали 107 случаев гриппа. Об этом сообщили в пресс-центре регионального Роспотребнадзора. В регионе также выявили 23 116 заболевших ОРВИ. Это на 5,2% ниже показателя за аналогичный период 2024 года.

ЗдоровьеОфициозНовосибирск

1349

27.11.2025

Улан-Батор снова задыхается: смена топлива не спасает город от смога

В зимний сезон Улан-Батор вошел с тяжелой проблемой качества воздуха. За последние десять лет власти столицы перепробовали многие варианты топлива и программы помощи населению. Несмотря на это, уровень загрязнения почти не изменился.

Эрнест Баатырев

ЗдоровьеОбществоЭкологияМонголия

9184

27.11.2025

Тайна сумароковского отхожего двора

Удивительный факт: в Усолье-Сибирском, которое ударно и давно спасают от последствий токсичного производства, вопрос строительства новых очистных только обсуждается. Уже из фотографий спасательницы Малибу Усолья на фоне «Усольехимпрома», депутата Марии Васильковой, можно составить большой альбом.

Георгий Булычев

ЭкономикаЗдоровьеПолитикаИркутск

11232

26.11.2025

В больнице Новосибирска после неправильного диагноза скончался 18-летний пациент. Дело на контроле Бастрыкина

В Новосибирске после неправильно поставленного диагноза в больнице скончался 18-летний парень. Председатель Следственного комитета России Александр Бастрыкин потребовал доклад.

ПроисшествияЗдоровьеРасследованияНовосибирск

7440

26.11.2025

Новая поликлиника в бурятском Хоринске заработает в конце года

В Бурятии подходит к концу возведение Хоринской поликлиники. Планируется, что она начнет работу в конце года. Об этом 26 ноября в своем Телеграм-канале сообщил глава республики Алексей Цыденов.

ЗдоровьеБурятия

1193

26.11.2025

Томский квест на выживание: за лекарствами — на самолёте в Питер

В Томской области обеспечение льготников жизненно важными препаратами превратилось в театр абсурда. Региональная система здравоохранения докатилась до того, что матери ребёнка-инвалида пришлось лететь через полстраны, чтобы самостоятельно спасти сына.

Октябрина Тихонова

ЗдоровьеПолитикаКриминалТомск

6911

26.11.2025

В Новосибирской области ребенку по ошибке вырезали грыжу

В Новосибирской области в ЦРБ Искитимского района пятилетнему ребенку по ошибке вырезали грыжу, хотя мальчик должен был пройти плановое обрезание. Информация об этом появилась в телеграм-канале «Инцидент Новосибирск».

ПроисшествияЗдоровьеНовосибирск

1429

26.11.2025

Иркутский Роспотребнадзор и инфекция: дожить до понедельника

Начальные и пятые классы школы в Карлуке Иркутского района отправили до 1 декабря на дистант из-за разгулявшейся в учреждении инфекции, сообщил в редакцию житель этой деревни. Заболевание течет сложно: дети болеют тяжело, есть случаи пневмонии, с трудно сбиваемой температурой.

Георгий Булычев

ЗдоровьеОбществоПолитикаИркутск

11690

25.11.2025

Бурятский республиканский клинический онкологический диспансер получил нового главврача

Руководителем Бурятского республиканского клинического онкологического диспансера назначили кандидата медицинских наук, уроженку Заиграевского района Наталью Дробот. Об этом 25 ноября сообщили в Минздраве региона.

ЗдоровьеБурятия

1512

25.11.2025

В Бурятии резко подскочила заболеваемость ОРВИ

В период с 17 по 23 ноября в Бурятии зафиксировали резкий рост заболеваемости ОРВИ. Заболевших в 1,5 раза больше, чем неделей ранее. Об этом сообщает Роспотребнадзор по республике. Увеличение заболеваемости зарегистрировали во всех возрастных группах. Наибольший рост произошел среди школьников.

ЗдоровьеБурятия

1287

25.11.2025

Как губернатор Котюков, министр Котяков и прокурор Тютюник демографию поднимали

В столице края состоялся Красноярский демографический форум, объединивший участников из 32 регионов России. По словам организаторов, форум стал федеральной площадкой для обсуждения актуальных вопросов поддержки семей с детьми и повышения рождаемости.

Александр Тубин

ПолитикаЗдоровьеКрасноярск

9497

25.11.2025

Гололед привел к большим очередям в красноярских травмпунктах

В травмпунктах Красноярска 25 ноября выстроились большие очереди. Ажиотаж возник на фоне сильного гололеда. Судя по данным сервиса онлайн-мониторинга, в пике приема врачей ожидали около 100 человек. К 15:30 в очередях осталось более 70 пациентов.

ПроисшествияЗдоровьеКрасноярск

1227

25.11.2025

Волна гриппа в Монголии: что делает власть для снижения рисков

Зимний сезон в Монголии по традиции приносит рост ОРЗ и ОРВИ. В этом году картина особенно напряженная. Министерство здравоохранения отмечает интенсивное распространение вируса в столице и крупных аймаках. Архангай, Баян-Улгий, Увурхангай, Умнеговь и Тув уже находятся в категории «тяжелая вспышка».

Эрнест Баатырев

ЗдоровьеМолодежьОбществоМонголия

6777

25.11.2025

В Иркутской области растёт заболеваемость ОРВИ

Заболеваемость ОРВИ растёт в Иркутской области. Об этом сообщает пресс-служба регионального Роспотребнадзора. За прошедшую неделю с 17 по 23 ноября в медицинские учреждения Прибайкалья с симптомами ОРВИ обратилось 18 155 человек, в том числе 11 516 детей до 14 лет.

ПроисшествияЗдоровьеИркутск

1335

25.11.2025

В Томской области за неделю выявлено 8749 заболевших ОРВИ

За минувшую неделю в Томской области острыми респираторными инфекциями заболели 8749 человек. Из общего количества заболевших 4616 – жители Томска. Среди больных 57% – дети до 14 лет, 43% – люди от 15 лет и старше.

ПроисшествияЗдоровьеТомск

1393

25.11.2025

Учёные ТГУ и исследование влияния COVID-19 на мозг человека

Учёным ТГУ удалось получить грант Российского научного фонда на то, чтобы выяснить, насколько коронавирус влияет на психическое состояние человека и структуру его головного мозга.

Андрей Тихонов

ЗдоровьеНаука и технологииИнтернет и ИТТомск

2915

24.11.2025

В Новосибирской области на карантин закрыли 86 детсадовских групп

В Новосибирской области на карантин по ОРВИ закрыли 86 групп в детских садах. В них было больше 20% заболевших детей. Также на карантин отправили 24 школьных класса. Полностью учреждения на карантин не закрывали. Региональное Министерство образование держит ситуацию с ОРВИ под контролем.

ЗдоровьеОбразованиеНовосибирск

1300

24.11.2025

Девочек от 9 до 12 лет в Красноярском крае планируют прививать от ВПЧ

Губернатор Красноярского края Михаил Котюков сообщил, что в регионе заложат финансирование на вакцинацию девочек от вируса папилломы человека. Прививки планируют делать детям от девяти до 12 лет, если у них есть отягощенный анамнез. Пилотный запуск проекта намечен на 2026 год.

ЗдоровьеКрасноярск

1352

24.11.2025

Восьмилетняя иркутянка проглотила три магнита

Восьмилетнюю девочку, проглотившую три магнитных шарика, экстренно прооперировали в Иркутске. Об этом сообщил в своём телеграм-канале детский хирург, главврач ИОДКБ Юрий Козлов. Девочка играла с одноклассниками на перемене: подбрасывала магнитные шарики в воздух и ловила ртом.

ПроисшествияЗдоровьеИркутск

1473

24.11.2025

Богоугодный отчёт: кто и как запрещает аборты в Бурятии

11 ноября председатель патриаршей комиссии по вопросам семьи Фёдор Лукьянов сообщил ТАСС о том, что Бурятия якобы вошла в число 14 регионов, где коммерческие клиники добровольно сдали лицензии на прерывание беременности.

Виктор Кулагин

ПолитикаЗдоровьеБурятия

11406

20.11.2025

Учёные ТГУ: разработка нового протеза и помощь атмосфере

Учёные ТГУ находятся в процессе разработки анатомически-подвижного протеза стопы. Макет нового протеза, аналогов которому нет в России, уже создан, осталось только сделать сам протез. Также учёным ТГУ удалось создать технологии, способные очищать атмосферу от различных загрязнителей.

Андрей Тихонов

Наука и технологииЗдоровьеЭкологияТомск

9682

20.11.2025

«Томск и таблетки»: Владимир Мазур пообещал региону фармзавод с десятилетней выдержкой

Томская область снова в ожидании экономического чуда. Губернатор Владимир Мазур торжественно анонсировал появление нового резидента в особой экономической зоне «Томск». На этот раз спасать региональный бюджет и здоровье томичей пришла московская фармацевтика.

Октябрина Тихонова

Экономика и бизнесПолитикаЗдоровьеТомск

12317

19.11.2025

Санитарный кризис в Монголии: «Угроза из-под земли»

Монголия заявляет о курсе на развитие, цифровизацию и модернизацию. Однако на фоне этих планов страна продолжает сталкиваться с почти средневековой проблемой. Речь идет об отсутствии современных санитарных условий и о масштабном использовании выгребных туалетов.

Эрнест Баатырев

ЗдоровьеОбществоЭкологияМонголия

10133

19.11.2025

В Новосибирске за прошедшую неделю зафиксировали больше 18 тысяч случаев ОРВИ

В Новосибирской области за прошедшую неделю с 10 по 16 ноября зафиксировали 18 824 случая ОРВИ. Об этом сообщили в региональном управлении Роспотребнадзора. Также за прошедшую неделю выявили 37 случаев гриппа. У детей было выявлено 10 747 случаев ОВРИ.

ЗдоровьеОфициозНовосибирск

1807

18.11.2025

ЛВРЗ без врачей: как РЖД лишили заводчан права на медпомощь

На Улан-Удэнском ЛВРЗ исчез медперсонал. Заводчане публикуют коллективные письма и обращения, заявляя, что штат местных фельдшеров полностью сокращён, остался лишь один медработник, который не оказывает реальной доврачебной помощи.

Есения Линней

Экономика и бизнесЗдоровьеОбществоБурятия

11289

18.11.2025

В Улан-Удэ построят модульное приемное отделение на базе БСМП имени Ангапова

В Улан-Удэ построят модульное приемное отделение на базе Республиканской клинической больницы скорой медицинской помощи имени Ангапова. На него выделят свыше 500 миллионов рублей. Об этом сообщил глава Бурятии Алексей Цыденов во время прямого эфира 15 ноября.

ЗдоровьеЭкономика и бизнесБурятия

7449

18.11.2025

В бурятском Таксимо построили современную поликлинику на 70 посещений в смену

В поселке Таксимо Муйского района Бурятии подходит к концу строительство новой современной поликлиники на 70 посещений в смену. Сейчас объект готов на 99%. Подрядчику осталось лишь устранить замечания Госстройжилнадзора. Как с этим разберутся, учреждение введут в эксплуатацию.

ЗдоровьеБурятия

1714

18.11.2025

Поликлиника № 15 в Иркутске готова на 82%

В Иркутске в 2026 году откроется новое здание поликлиники № 15 на 499 посещений в смену. Она располагается в предместье Рабочее. Строительная готовность здания составляет 82%, сообщается на сайте мэрии города. Стоимость строительства составляет более двух миллиардов рублей.

ОбществоЗдоровьеИркутск

1821

18.11.2025

«ВИС» продолжает заВИСать в Новосибирске. ГЧП-поликлиники

Известная компания, набравшая огромное количество крупных проектов в столице Сибири, по-прежнему затягивает со своими обязательствами. ГК «ВИС» вместо того, чтобы признать свои промахи, лишь огрызается. Организация в ответ на критику призывает депутатов проспонсировать её. Куда уж больше?

Адриан Орлов

Экономика и бизнесЗдоровьеНовосибирск

8271

17.11.2025

Красноярский край стал единственным регионом, где стали чаще покупать сигареты

В Красноярском крае за прошедший год жители стали покупать сигареты чаще, хотя по стране их продажи заметно снизились. Об этом сообщило «РИА Новости» со ссылкой на исследование «Контур.Маркета». Аналитики изучили более 4,3 миллиона чеков из торговых точек по всей России.

ЗдоровьеОбществоКрасноярск

1779

17.11.2025

Телеграм Бурятии за неделю: отмена «Черчилля» и абортов

Бабр представляет обзор ключевых событий и обсуждений в бурятском сегменте мессенджера Telegram за неделю с 10 по 17 ноября включительно.

Есения Линней

Экономика и бизнесПолитикаЗдоровьеБурятия

10297

17.11.2025

В рейтинге регионов РФ по приверженности ЗОЖ Прибайкалье занимает 79 место

Иркутская область заняла 79-е место в рейтинге российских регионов по приверженности здоровому образу жизни. Об этом сообщает РИА Новости. Лидерами рейтинга стали регионы Северного Кавказа, аутсайдерами — Дальний Восток.

ЗдоровьеОбществоИркутск

1772

17.11.2025

670 тысяч заплатит пострадавшим от «Цезаря» братское кафе

Более 670 тысяч рублей выплатит по решению суда пострадавшим от отравления в июне 2024 братское кафе Mexico. Об этом сообщается на сайте Иркутского областного суда. Напомним, 28 июня в кафе праздновали выпускной. После этого 39 человек обратились в больницу с острой кишечной инфекцией.

ПроисшествияЗдоровьеИркутск

1727

17.11.2025

Крыша рухнула — гарантия закончилась: как ремонт за миллионы довёл детскую больницу Новосибирска до аварии

23 октября в новосибирской Детской городской клинической больнице № 1 рухнул потолок, и только чудо спасло детей. Пока губернатор Андрей Травников оперативно отчитывался об отсутствии жертв, следствие вскрыло важный факт: обрушилась крыша, которая всего шесть лет назад пережила капитальный ремонт.

Октябрина Тихонова

КриминалРасследованияЗдоровьеНовосибирск

13579

14.11.2025

Блогнот. Крепостные врачи: как новые правила уничтожат российскую медицину

Государственная дума поставила точку в судьбе российского здравоохранения, окончательно превратив его в ведомство по производству «крепостных врачей».

Алексей Аксютенко

ОбществоРасследованияЗдоровьеРоссия Красноярск

12177

14.11.2025

Из-за падения рождаемости в Красноярске могут закрыть часть родильных домов

В Красноярске обсуждают возможное закрытие двух родильных домов из-за снижения рождаемости. Об этом сообщил депутат Законодательного собрания Алексей Бойков.

ЗдоровьеПолитикаКрасноярск

7559

12.11.2025

С томского детсада, где малыш сломал бедро, могут взыскать 400 тысяч компенсации

Прокуратура Ленинского района города Томска требует взыскать с детского сада компенсацию морального вреда в пользу ребенка, получившего перелом бедра. Как сообщалось ранее, в сентябре 2025 года двухлетний мальчик, переобуваясь после прогулки, упал со скамейки.

ПроисшествияЗдоровьеТомск

1910

12.11.2025

Последние новости

04.12 20:49
В Новосибирске приняли бюджет на 2026 год

04.12 20:46
В Монголии строят национальную контрольно-аналитическую лабораторию

04.12 20:37
Инсайд. Футуристическая мечта о канатной дороге через Обь

04.12 20:34
В Новосибирской области в седьмой раз переизбрали мэра Кольцово

04.12 20:19
Новосибирскую авиакомпанию S7 принудили отменить сбор для льготных категорий граждан

04.12 20:09
В Новосибирской области на торги выставили здание энергопоезда

04.12 19:53
В Новосибирской области мужчине назначили условный срок за незаконную рубку деревьев

04.12 18:58
В районе Бурятии вырос уровень реки Кика. Местами вода добралась до огородов

04.12 18:52
Томичи взяли в путешествия за рубеж 113 животных-компаньонов

04.12 18:45
Возбуждены уголовные дела о хищениях средств, предназначенных на ремонт котельных в Нарыме

04.12 18:34
В Новосибирске многодетная семья не может получить новую квартиру. Дело на контроле Бастрыкина

04.12 18:26
В Красноярске сократят лимит поездок в социальном такси для инвалидов

04.12 18:24
Красноярский край потерял четыре миллиарда рублей на медицину из-за убыли населения

04.12 18:10
В Хакасии глав муниципалитетов предлагают снимать с должностей за проблемы с бродячими собаками

04.12 17:03
Меморандум о стабилизации цен на продукты подписали в Прибайкалье

04.12 16:47
Суд отказал «России» в иске к аэропорту Емельяново из-за повреждения самолета при буксировке

04.12 16:09
Микрофинансовую компанию оштрафовали на 100 тысяч после жалобы томички

04.12 16:02
В Северске коммерческая фирма погасила 1,2 миллиона рублей долга по зарплате

Лица Сибири

Самойличенко Владимир

Маковоз Олег

Вырупаева Екатерина

Хроменков Святослав

Павлюк Леонид

Лескин Владимир

Титенок Инна

Щелкунов Владимир

Липин Сергей

Хартаев Валерий