Сила Сибири. 
 И мы – не газопровод.

Здоровье

Статьи и новости рубрики "Здоровье"

В Красноярском крае трое человек умерли от обморожения

С 1 октября по 1 декабря в Красноярском крае госпитализировали 26 человек, которые получили обморожение. Трое из них умерли. Еще 27 жителей обратились за амбулаторной помощью. Такие данные привел региональный Минздрав. Почти все пострадавшие — взрослые.

ПроисшествияЗдоровьеКрасноярск

187

02.12.2025

17 школ в Бурятии закрыли из-за роста заболеваемости ОРВИ

В Бурятии из-за резкого подъема заболеваемости ОРВИ полностью закрыли уже 17 школ. Об этом сообщает Ариг Ус online со ссылкой на Минобрнауки республики. По данным на 1 декабря, в регионе с симптомами ОРВИ слегли уже 7286 школьников.

ЗдоровьеОбразованиеБурятия

241

02.12.2025

В Новосибирской области хотят ввести масочный режим

В Новосибирской области в больницах хотят ввести масочный режим. Об этом сообщил министр здравоохранения НСО Ростислав Заблоцкий. «Эпидемия уже перешагнула из европейской части в Сибирь.

ЗдоровьеНовосибирск

425

01.12.2025

Смерть туриста в Улан-Баторе: слабые места монгольской медицины

Смерть гражданина США в столичной больнице стала резонансным событием, обострив дискуссию о слабых местах монгольской медицины. Турист поступил в Государственную центральную клиническую больницу №1 в начале июня. Его состояние ухудшалось, а врачи не смогли установить диагноз в течение целой недели.

Эрнест Баатырев

ЗдоровьеОбществоМонголия

853

01.12.2025

В Бурятии спасли годовалого малыша, проглотившего монету и дисковую батарейку

27 ноября в ДРКБ в Улан-Удэ попал годовалый ребенок. Он проглотил двухрублевую монету и дисковую литиевую батарейку, в результате чего получил химический ожог слизистой оболочки пищевода третьей степени. Об этом сообщает пресс-служба медучреждения.

ЗдоровьеПроисшествияБурятия

782

30.11.2025

В столице Бурятии на карантин ушли 43 класса в 12 школах

В Улан-Удэ из-за роста заболеваемости ОРВИ на карантин закрыли уже 43 класса в 12 школах – болеют 439 учеников. Об этом сообщает Ариг Ус online со ссылкой на председателя местного Комитета по образованию Анну Батурину.

ЗдоровьеОбразованиеБурятия

1126

27.11.2025

В Новосибирской области зафиксировали 107 случаев гриппа

В Новосибирской области за неделю с 17 по 23 ноября зафиксировали 107 случаев гриппа. Об этом сообщили в пресс-центре регионального Роспотребнадзора. В регионе также выявили 23 116 заболевших ОРВИ. Это на 5,2% ниже показателя за аналогичный период 2024 года.

ЗдоровьеОфициозНовосибирск

1102

27.11.2025

Улан-Батор снова задыхается: смена топлива не спасает город от смога

В зимний сезон Улан-Батор вошел с тяжелой проблемой качества воздуха. За последние десять лет власти столицы перепробовали многие варианты топлива и программы помощи населению. Несмотря на это, уровень загрязнения почти не изменился.

Эрнест Баатырев

ЗдоровьеОбществоЭкологияМонголия

8215

27.11.2025

Тайна сумароковского отхожего двора

Удивительный факт: в Усолье-Сибирском, которое ударно и давно спасают от последствий токсичного производства, вопрос строительства новых очистных только обсуждается. Уже из фотографий спасательницы Малибу Усолья на фоне «Усольехимпрома», депутата Марии Васильковой, можно составить большой альбом.

Георгий Булычев

ЭкономикаЗдоровьеПолитикаИркутск

9907

26.11.2025

В больнице Новосибирска после неправильного диагноза скончался 18-летний пациент. Дело на контроле Бастрыкина

В Новосибирске после неправильно поставленного диагноза в больнице скончался 18-летний парень. Председатель Следственного комитета России Александр Бастрыкин потребовал доклад.

ПроисшествияЗдоровьеРасследованияНовосибирск

6657

26.11.2025

Новая поликлиника в бурятском Хоринске заработает в конце года

В Бурятии подходит к концу возведение Хоринской поликлиники. Планируется, что она начнет работу в конце года. Об этом 26 ноября в своем Телеграм-канале сообщил глава республики Алексей Цыденов.

ЗдоровьеБурятия

1003

26.11.2025

Томский квест на выживание: за лекарствами — на самолёте в Питер

В Томской области обеспечение льготников жизненно важными препаратами превратилось в театр абсурда. Региональная система здравоохранения докатилась до того, что матери ребёнка-инвалида пришлось лететь через полстраны, чтобы самостоятельно спасти сына.

Октябрина Тихонова

ЗдоровьеПолитикаКриминалТомск

5956

26.11.2025

В Новосибирской области ребенку по ошибке вырезали грыжу

В Новосибирской области в ЦРБ Искитимского района пятилетнему ребенку по ошибке вырезали грыжу, хотя мальчик должен был пройти плановое обрезание. Информация об этом появилась в телеграм-канале «Инцидент Новосибирск».

ПроисшествияЗдоровьеНовосибирск

1229

26.11.2025

Иркутский Роспотребнадзор и инфекция: дожить до понедельника

Начальные и пятые классы школы в Карлуке Иркутского района отправили до 1 декабря на дистант из-за разгулявшейся в учреждении инфекции, сообщил в редакцию житель этой деревни. Заболевание течет сложно: дети болеют тяжело, есть случаи пневмонии, с трудно сбиваемой температурой.

Георгий Булычев

ЗдоровьеОбществоПолитикаИркутск

10604

25.11.2025

Бурятский республиканский клинический онкологический диспансер получил нового главврача

Руководителем Бурятского республиканского клинического онкологического диспансера назначили кандидата медицинских наук, уроженку Заиграевского района Наталью Дробот. Об этом 25 ноября сообщили в Минздраве региона.

ЗдоровьеБурятия

1312

25.11.2025

В Бурятии резко подскочила заболеваемость ОРВИ

В период с 17 по 23 ноября в Бурятии зафиксировали резкий рост заболеваемости ОРВИ. Заболевших в 1,5 раза больше, чем неделей ранее. Об этом сообщает Роспотребнадзор по республике. Увеличение заболеваемости зарегистрировали во всех возрастных группах. Наибольший рост произошел среди школьников.

ЗдоровьеБурятия

1102

25.11.2025

Как губернатор Котюков, министр Котяков и прокурор Тютюник демографию поднимали

В столице края состоялся Красноярский демографический форум, объединивший участников из 32 регионов России. По словам организаторов, форум стал федеральной площадкой для обсуждения актуальных вопросов поддержки семей с детьми и повышения рождаемости.

Александр Тубин

ПолитикаЗдоровьеКрасноярск

8665

25.11.2025

Гололед привел к большим очередям в красноярских травмпунктах

В травмпунктах Красноярска 25 ноября выстроились большие очереди. Ажиотаж возник на фоне сильного гололеда. Судя по данным сервиса онлайн-мониторинга, в пике приема врачей ожидали около 100 человек. К 15:30 в очередях осталось более 70 пациентов.

ПроисшествияЗдоровьеКрасноярск

1037

25.11.2025

Волна гриппа в Монголии: что делает власть для снижения рисков

Зимний сезон в Монголии по традиции приносит рост ОРЗ и ОРВИ. В этом году картина особенно напряженная. Министерство здравоохранения отмечает интенсивное распространение вируса в столице и крупных аймаках. Архангай, Баян-Улгий, Увурхангай, Умнеговь и Тув уже находятся в категории «тяжелая вспышка».

Эрнест Баатырев

ЗдоровьеМолодежьОбществоМонголия

5906

25.11.2025

В Иркутской области растёт заболеваемость ОРВИ

Заболеваемость ОРВИ растёт в Иркутской области. Об этом сообщает пресс-служба регионального Роспотребнадзора. За прошедшую неделю с 17 по 23 ноября в медицинские учреждения Прибайкалья с симптомами ОРВИ обратилось 18 155 человек, в том числе 11 516 детей до 14 лет.

ПроисшествияЗдоровьеИркутск

1146

25.11.2025

В Томской области за неделю выявлено 8749 заболевших ОРВИ

За минувшую неделю в Томской области острыми респираторными инфекциями заболели 8749 человек. Из общего количества заболевших 4616 – жители Томска. Среди больных 57% – дети до 14 лет, 43% – люди от 15 лет и старше.

ПроисшествияЗдоровьеТомск

1214

25.11.2025

Учёные ТГУ и исследование влияния COVID-19 на мозг человека

Учёным ТГУ удалось получить грант Российского научного фонда на то, чтобы выяснить, насколько коронавирус влияет на психическое состояние человека и структуру его головного мозга.

Андрей Тихонов

ЗдоровьеНаука и технологииИнтернет и ИТТомск

2677

24.11.2025

В Новосибирской области на карантин закрыли 86 детсадовских групп

В Новосибирской области на карантин по ОРВИ закрыли 86 групп в детских садах. В них было больше 20% заболевших детей. Также на карантин отправили 24 школьных класса. Полностью учреждения на карантин не закрывали. Региональное Министерство образование держит ситуацию с ОРВИ под контролем.

ЗдоровьеОбразованиеНовосибирск

1107

24.11.2025

Девочек от 9 до 12 лет в Красноярском крае планируют прививать от ВПЧ

Губернатор Красноярского края Михаил Котюков сообщил, что в регионе заложат финансирование на вакцинацию девочек от вируса папилломы человека. Прививки планируют делать детям от девяти до 12 лет, если у них есть отягощенный анамнез. Пилотный запуск проекта намечен на 2026 год.

ЗдоровьеКрасноярск

1167

24.11.2025

Восьмилетняя иркутянка проглотила три магнита

Восьмилетнюю девочку, проглотившую три магнитных шарика, экстренно прооперировали в Иркутске. Об этом сообщил в своём телеграм-канале детский хирург, главврач ИОДКБ Юрий Козлов. Девочка играла с одноклассниками на перемене: подбрасывала магнитные шарики в воздух и ловила ртом.

ПроисшествияЗдоровьеИркутск

1267

24.11.2025

Богоугодный отчёт: кто и как запрещает аборты в Бурятии

11 ноября председатель патриаршей комиссии по вопросам семьи Фёдор Лукьянов сообщил ТАСС о том, что Бурятия якобы вошла в число 14 регионов, где коммерческие клиники добровольно сдали лицензии на прерывание беременности.

Виктор Кулагин

ПолитикаЗдоровьеБурятия

10509

20.11.2025

Учёные ТГУ: разработка нового протеза и помощь атмосфере

Учёные ТГУ находятся в процессе разработки анатомически-подвижного протеза стопы. Макет нового протеза, аналогов которому нет в России, уже создан, осталось только сделать сам протез. Также учёным ТГУ удалось создать технологии, способные очищать атмосферу от различных загрязнителей.

Андрей Тихонов

Наука и технологииЗдоровьеЭкологияТомск

8866

20.11.2025

«Томск и таблетки»: Владимир Мазур пообещал региону фармзавод с десятилетней выдержкой

Томская область снова в ожидании экономического чуда. Губернатор Владимир Мазур торжественно анонсировал появление нового резидента в особой экономической зоне «Томск». На этот раз спасать региональный бюджет и здоровье томичей пришла московская фармацевтика.

Октябрина Тихонова

Экономика и бизнесПолитикаЗдоровьеТомск

11542

19.11.2025

Санитарный кризис в Монголии: «Угроза из-под земли»

Монголия заявляет о курсе на развитие, цифровизацию и модернизацию. Однако на фоне этих планов страна продолжает сталкиваться с почти средневековой проблемой. Речь идет об отсутствии современных санитарных условий и о масштабном использовании выгребных туалетов.

Эрнест Баатырев

ЗдоровьеОбществоЭкологияМонголия

9347

19.11.2025

В Новосибирске за прошедшую неделю зафиксировали больше 18 тысяч случаев ОРВИ

В Новосибирской области за прошедшую неделю с 10 по 16 ноября зафиксировали 18 824 случая ОРВИ. Об этом сообщили в региональном управлении Роспотребнадзора. Также за прошедшую неделю выявили 37 случаев гриппа. У детей было выявлено 10 747 случаев ОВРИ.

ЗдоровьеОфициозНовосибирск

1628

18.11.2025

ЛВРЗ без врачей: как РЖД лишили заводчан права на медпомощь

На Улан-Удэнском ЛВРЗ исчез медперсонал. Заводчане публикуют коллективные письма и обращения, заявляя, что штат местных фельдшеров полностью сокращён, остался лишь один медработник, который не оказывает реальной доврачебной помощи.

Есения Линней

Экономика и бизнесЗдоровьеОбществоБурятия

10523

18.11.2025

В Улан-Удэ построят модульное приемное отделение на базе БСМП имени Ангапова

В Улан-Удэ построят модульное приемное отделение на базе Республиканской клинической больницы скорой медицинской помощи имени Ангапова. На него выделят свыше 500 миллионов рублей. Об этом сообщил глава Бурятии Алексей Цыденов во время прямого эфира 15 ноября.

ЗдоровьеЭкономика и бизнесБурятия

6730

18.11.2025

В бурятском Таксимо построили современную поликлинику на 70 посещений в смену

В поселке Таксимо Муйского района Бурятии подходит к концу строительство новой современной поликлиники на 70 посещений в смену. Сейчас объект готов на 99%. Подрядчику осталось лишь устранить замечания Госстройжилнадзора. Как с этим разберутся, учреждение введут в эксплуатацию.

ЗдоровьеБурятия

1531

18.11.2025

Поликлиника № 15 в Иркутске готова на 82%

В Иркутске в 2026 году откроется новое здание поликлиники № 15 на 499 посещений в смену. Она располагается в предместье Рабочее. Строительная готовность здания составляет 82%, сообщается на сайте мэрии города. Стоимость строительства составляет более двух миллиардов рублей.

ОбществоЗдоровьеИркутск

1642

18.11.2025

«ВИС» продолжает заВИСать в Новосибирске. ГЧП-поликлиники

Известная компания, набравшая огромное количество крупных проектов в столице Сибири, по-прежнему затягивает со своими обязательствами. ГК «ВИС» вместо того, чтобы признать свои промахи, лишь огрызается. Организация в ответ на критику призывает депутатов проспонсировать её. Куда уж больше?

Адриан Орлов

Экономика и бизнесЗдоровьеНовосибирск

7533

17.11.2025

Красноярский край стал единственным регионом, где стали чаще покупать сигареты

В Красноярском крае за прошедший год жители стали покупать сигареты чаще, хотя по стране их продажи заметно снизились. Об этом сообщило «РИА Новости» со ссылкой на исследование «Контур.Маркета». Аналитики изучили более 4,3 миллиона чеков из торговых точек по всей России.

ЗдоровьеОбществоКрасноярск

1605

17.11.2025

Телеграм Бурятии за неделю: отмена «Черчилля» и абортов

Бабр представляет обзор ключевых событий и обсуждений в бурятском сегменте мессенджера Telegram за неделю с 10 по 17 ноября включительно.

Есения Линней

Экономика и бизнесПолитикаЗдоровьеБурятия

9552

17.11.2025

В рейтинге регионов РФ по приверженности ЗОЖ Прибайкалье занимает 79 место

Иркутская область заняла 79-е место в рейтинге российских регионов по приверженности здоровому образу жизни. Об этом сообщает РИА Новости. Лидерами рейтинга стали регионы Северного Кавказа, аутсайдерами — Дальний Восток.

ЗдоровьеОбществоИркутск

1602

17.11.2025

670 тысяч заплатит пострадавшим от «Цезаря» братское кафе

Более 670 тысяч рублей выплатит по решению суда пострадавшим от отравления в июне 2024 братское кафе Mexico. Об этом сообщается на сайте Иркутского областного суда. Напомним, 28 июня в кафе праздновали выпускной. После этого 39 человек обратились в больницу с острой кишечной инфекцией.

ПроисшествияЗдоровьеИркутск

1558

17.11.2025

Крыша рухнула — гарантия закончилась: как ремонт за миллионы довёл детскую больницу Новосибирска до аварии

23 октября в новосибирской Детской городской клинической больнице № 1 рухнул потолок, и только чудо спасло детей. Пока губернатор Андрей Травников оперативно отчитывался об отсутствии жертв, следствие вскрыло важный факт: обрушилась крыша, которая всего шесть лет назад пережила капитальный ремонт.

Октябрина Тихонова

КриминалРасследованияЗдоровьеНовосибирск

12669

14.11.2025

Блогнот. Крепостные врачи: как новые правила уничтожат российскую медицину

Государственная дума поставила точку в судьбе российского здравоохранения, окончательно превратив его в ведомство по производству «крепостных врачей».

Алексей Аксютенко

ОбществоРасследованияЗдоровьеРоссия Красноярск

11365

14.11.2025

Из-за падения рождаемости в Красноярске могут закрыть часть родильных домов

В Красноярске обсуждают возможное закрытие двух родильных домов из-за снижения рождаемости. Об этом сообщил депутат Законодательного собрания Алексей Бойков.

ЗдоровьеПолитикаКрасноярск

6859

12.11.2025

С томского детсада, где малыш сломал бедро, могут взыскать 400 тысяч компенсации

Прокуратура Ленинского района города Томска требует взыскать с детского сада компенсацию морального вреда в пользу ребенка, получившего перелом бедра. Как сообщалось ранее, в сентябре 2025 года двухлетний мальчик, переобуваясь после прогулки, упал со скамейки.

ПроисшествияЗдоровьеТомск

1723

12.11.2025

Медики в кандалах нового закона

Госдума РФ 11 ноября 2025 года во втором и третьем чтениях приняла закон, обязывающий студентов медицинских вузов на бюджетных местах проходить целевое обучение в ординатуре.

Леонид Улих, социальный эколог

РасследованияОбществоЗдоровьеРоссия

18387

12.11.2025

Глава СКР заинтересовался альтернативными методами лечения в Новосибирской области

В Новосибирской области врач одной из клиник лечил альтернативными методами пациентку, которая впоследствии скончалась. Председатель Следственного комитета России Александр Бастрыкин потребовал доклад.

ПроисшествияЗдоровьеРасследованияНовосибирск

6444

11.11.2025

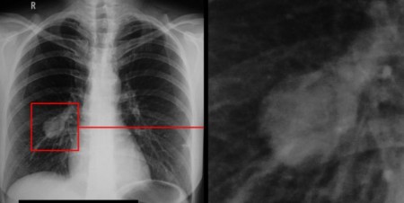
Мужчины в Красноярском крае чаще других в Сибири болеют раком лёгких

Мужчины в Красноярском крае чаще других в Сибири сталкиваются с раком лёгких. Об этом рассказала старший научный сотрудник отделения торакальной онкологии НИИ онкологии Томского НИМЦ Татьяна Полищук.

ЗдоровьеОбществоКрасноярск

1602

11.11.2025

В Новосибирской области зафиксировали 14 случаев гриппа

В Новосибирской области за прошедшую неделю с 3 по 9 ноября выявили 14 случаев гриппа. Об этом сообщили в Роспотребнадзоре по региону. Также за прошедшую неделю в области зарегистрировали 16 162 случая ОРВИ. У детей до 14 лет было выявлено 9247 случаев заболевания.

ЗдоровьеНовосибирск

1591

11.11.2025

Инсайд. Беспредел в здравоохранении Бурятии

#напишут Хочу снова поднять вопрос по медицине в Бурятии. В четверг муж пришел с работы в ужасном состоянии, весь в холодном поту, давление 160/120, рука висит плетью. Боль в плече невыносимая. Никаких лекарств типа диклофенака ему не поставишь, гипертония как противопоказание.

Фокс Смит

ЗдоровьеОбществоМаразмБурятия

2963

10.11.2025

В Новосибирске назвали районы, где чаще фиксируют отравление наркотиками

В Новосибирске назвали районы, где чаще всего фиксируют отравление наркотическими средствами. Об этом рассказали на антинаркотической городской комиссии. Антирейтинг возглавили Кировский, Ленинский и Октябрьский районы.

ЗдоровьеНовосибирск

1692

10.11.2025

В Новосибирской области ребенку не предоставляют лекарство. Дело на контроле Бастрыкина

В Новосибирской области ребенку с неназванным заболеванием не предоставляют лекарство. Председатель Следственного комитета России Александр Бастрыкин поручил возбудить уголовное дело. «К Председателю СК России А.И.

ЗдоровьеРасследованияНовосибирск

6779

10.11.2025

Последние новости

02.12 14:24
В Прибайкалье за 10 месяцев сдали более 15 тысяч квартир

02.12 14:08
СберТройка объяснила сбои в работе новых транспортных карт в Красноярском крае

02.12 13:19
В Красноярском крае трое человек умерли от обморожения

02.12 13:07
Молодых томича и новосибирца осудят за похищение человека, разбой и вымогательство

02.12 13:07
В Новосибирске открыли три городских катка

02.12 12:57
В Улан-Удэ закончили реконструкцию инженерных сетей на Советской и Кирова

02.12 12:09
К новому аэропорту Иркутска хотят запустить электричку

02.12 11:08
Рейс из Красноярска во Вьетнам вылетел почти на 30 часов позже расписания

02.12 11:05
Глава СКР поручил возбудить уголовное дело о нападении собаки на фельдшера «скорой» в Томске

02.12 11:02
На Култукском тракте сохраняется пробка

02.12 10:58
Бассейн «Медуза» в Красноярске прекратил работу на неопределённый срок

02.12 10:58
17 школ в Бурятии закрыли из-за роста заболеваемости ОРВИ

02.12 10:09
За неделю телефонные мошенники украли у жителей Прибайкалья 34 миллиона рублей

02.12 09:15
Директора томской компании «Сибирский осетр» осудят за мошенничество на 7,6 миллиона

01.12 22:32
В Бурятии за посредничество во взяточничестве осудят брата экс-главы Тункинского нацпарка

01.12 19:09
В Новосибирске за прошедшую неделю произошло 27 пожаров

01.12 19:04
В Новосибирске за трое суток вывезли 56 тысяч кубометров снега

01.12 18:58
Глава «Бурятрегионавтодора» получил прокурорское представление из-за плохого содержания трассы «Монды-Орлик»

Лица Сибири

Зезуля Алексей

Ерощук Светлана

Кудинов Олег

Бакуров Евгений

Цындыжапов Артем

Цырфа Ирина

Горюнов Константин

Пивень Виктор

Темнов Андрей

Алтарева Валерия